May 29, 2019

Periodontal Disease Stage chart

When asking a patient who was just recently in our office, “Do your gums bleed or hurt?” The person’s response was surprising.

They said, “Yes, my gums bleed, but that’s normal.” We were surprised by this response because bleeding gums is definitely not normal.

In addition to making sure people are healthy, we believe in educating people because that is what helps people make better decisions about their health— and if people are healthier then their quality of life is better.

So we’re here today to teach you that not only is bleeding gums abnormal, it’s actually a sign of a much bigger problem called periodontal disease (aka gum disease).

And while bleeding gums is not normal, it’s actually pretty common.

According to the Centers for Disease Control and Prevention, periodontal disease affects nearly half of all people over 30!

In fact, the American Academy of Periodontology (AAP) says up to three out of four Americans have some kind of gum disease – whether it’s a mild case of gum disease (gingivitis) or its advanced version.

And while you’d have company, that really isn’t a club you want to join!

What is Gum Disease?

Periodontal disease (aka gum disease) is an active infection of the gums. It’s caused by the acidic by-product of bacteria (biofilm) in the mouth.

In simpler, non-dental terms: there’s little bacteria dudes in your that mouth feed on leftover food (particularly sugars) and their “poo-poo” is acidic enough to eat away the gum tissue in your mouth — and even destroy tooth structure. If you let them set up camp then they grow in numbers and strength.

Icky, we know!

And not only does periodontal disease affect your oral health it’s also been linked to major health issues like cardiovascular disease and diabetes.

The good news is your body is designed to give you warning signals that something isn’t quite right, which gives you a chance to take action and stop the bacteria from doing harm (or more harm) to your mouth and overall health.

The even better news is you don’t have to wait and be reactive, you can be proactive with your health!

What Do Dental Professionals Look for?

Healthy gums are firm and pink, fitting snugly around your teeth and don’t bleed. Gum disease happens when plaque (bacterial buildup) in the mouth isn’t brushed and flossed away every day and begins irritating the gums.

When you come in to see us, our hygienist will assess the health of your gums. Part of this assessment is what they see, but they’ll also use a special tool called a probe to measure the depth of the pockets around your teeth.

2-3mm is a good thing, meaning your gums are healthy. But 4+mm are cause for concern, particularly if that measurement is accompanied by bleeding.

The hygienist will also ensure that all plaque and tartar is removed. Preventing plaque from hardening into tartar (and removing it if it has formed) is key because if it’s not treated, gingivitis progresses into an advanced stage where your gums, bones, and tissue supporting your teeth are destroyed.

Additionally, at least once a year, Dr. Powell will take a look at your radiographs (X-rays) to check for tooth decay and bone loss.

Just like you need to be proactive when it comes to protecting your teeth from tooth decay, you need to be proactive when it comes to keeping your gums healthy too.

Sadly, only three percent of people who have gum disease get the treatment they need so if you suspect you have it, please don’t hesitate to have our dentist, Dr. James Powell, check your gums.

The Four Stages of Gum Disease

When your body has foreign invaders, like bacteria, it goes to work to get rid of them. The body’s white blood cells and substances they produce protect us from wide-spread infections.

But you’ll see as we go through the progression of gum disease there’s only so much that your body can do on its own, and it really doesn’t stand a chance against periodontal disease without your help.

 

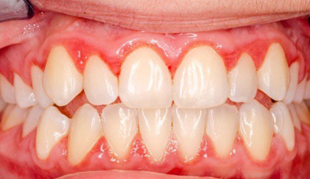
Stage 1: Gingivitis


 
The first stage is inflammation of the gums, also known as gingivitis. Many experts consider gingivitis as more of a “pre” stage, but it’s important to notice it and take action.

Since your body is trying to get rid of those bacteria dudes, the release of chemicals increases the blood flow to the area of infection and causes them to look red. Some of the chemicals cause a leak of fluid into the tissues, resulting in swelling. This protective process may stimulate nerves and cause tenderness/pain.

So you’ll typically notice red, puffy, swollen gums and sometimes bad breath at this stage.

There’s typically bleeding when you brush and floss, but since the bone and connective tissues supporting the teeth are still unaffected, this stage can be reversed.

If you aren’t seeing a dentist regularly you might not notice these warning signs, and if you smoke you might not have bleeding, but rest assured that that doesn’t change the harm happening from the infection in your gums.

This is what makes periodontal disease so dangerous: it starts slow but advances quickly.

The Steps You Need to Take at This Point

Since this is only the very beginning, you can do some basic things to ensure that you don’t develop a more advanced stage of periodontal disease.

First of all, make sure that you are seeing our hygienist every 4-6 months. Don’t skip or procrastinate this visit. Only a hygienist or dentist can remove buildup on your teeth, and catch decay early-on.

It also would be ideal to add laser therapy to your routine preventative visit with the hygienist as it will help destroy the bacteria and promote gum healing.

Second, get a rock-solid at-home oral hygiene routine going. Ensure that you are:

 

Stage 2: Slight Periodontal Disease

If you don’t take the proper actions at stage one, then the disease will progress to stage two: slight periodontal disease.

Don’t let the word “slight” trick you into thinking that things aren’t that serious because at this stage your gum tissue will be damaged and the infection will spread to the supporting jaw bone to destroy it. 

Once you reach this stage you cannot reverse the disease.

The tissue and fibers will develop deep pockets around the teeth allowing the bacteria to really thrive and evolve. When it does that it becomes more aggressive, which is what causes the additional bone loss.

Signs include increased swelling or redness of the gums, bad breath, bleeding during brushing or flossing, and pocket depths that are between four and five millimeters.

The Steps You Need to Take at This Point

Even though this stage is not reversible, it is manageable. You can stop it from getting worse. But simple oral hygiene will no longer cut it.

Again, make sure that you are seeing our hygienist at the recommended intervals, which might be every 3-4 months. And really ensure that you are flossing daily, brushing for the correct duration, and using a Sonicare electric toothbrush and Hydrofloss at home.

Seeing the dentist is imperative when it comes to keeping the disease from getting worse. So never, never put off that seriously important visit.

When you come in to see us, our dentist might recommend:

 

Stage 3: Moderate Periodontal Disease

Like slight periodontal disease, the third stage of gum disease cannot be reversed. But it can still be managed.

At this stage, the bacteria is more aggressive and the damage is more severe.

You’ll experience many of the same symptoms as you did at stage two but the gum pocket depths are greater at six to seven millimeters which allows for even more bacteria to attack not only your bones but your bloodstream and immune system as well.

The Steps You Need to Take at This Point

Even though the disease has advanced, you can still prevent further damage from happening (like missing teeth which come with its own set of progressive problems).

We have to continue stressing the importance of doing your part at home, in addition to coming in to see our hygienist. We know that it can feel hopeless when things are bad, but we’re a team, and there’s only so much we can do without your help at home.

So even if you haven’t had the best habits in the past, start now, today. If you’re unsure what to do we can help you with that — simply ask. We’re here for you!

When you come in to see us, all of these treatments together can really help stop your condition from worsening:

Be sure that you do not compromise on the frequency that you are supposed to be seen. It is imperative to maintain the disease and to do so requires that you come in to see our hygienist every 3-4 months as this prevents the bacteria from setting up camp and doing even more damage.

 

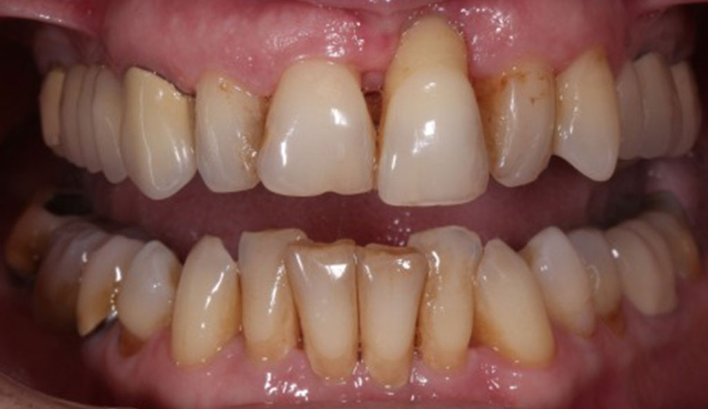
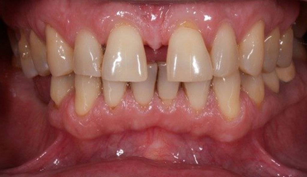
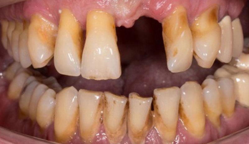
Stage 4: Advanced Periodontal Disease

The final stage of gum disease occurs when the infection has gotten even deeper. You’ll start to experience significant bone loss and damage to the fibers that hold the teeth in place, which causes them to shift and loosen. Yes, that means you will likely be experiencing tooth loss (in addition to tooth decay).

This advanced form of the disease comes with unpleasant symptoms and side effects. You’ll experience red, swollen gums that ooze pus, cold sensitivity, further loosening of teeth, an altered bite (which can cause TMJ pain), painful chewing, and severe halitosis.

Even at this stage, if you do not treat the disease, you’re looking at spacing or gaps between the teeth, gum recession (aka sensitivity), the potential of needing dentures, and other overall health problems that can be serious, even fatal.

The Steps You Need to Take at This Point

Even though your treatment needs have expanded and require a bit more involvement if you take action now, you still may be able to restore your smile. You can’t technically get back what’s been lost, but there are some promising treatment options that look pretty darn close.

Again, we have to state that in spite of you being at an advanced stage of periodontal disease, it’s still imperative that you take care of your teeth at home.

Dr. Powell might also prescribe a specific toothpaste or oral rinse to help fight plaque or suggest a change in your toothbrush or flossing techniques. Switching to a soft-bristled or Sonicare electric toothbrush and a water flosser may also improve your gum health. In addition to making flossing daily a habit along with brushing to restore your gums, you’ll also want to avoid tobacco use, and eat a balanced diet.

The next best thing is to come in to see our experienced dentist so that together, we can come up with a plan to help you.

As stated just a moment ago, there are several treatment options which might include any and/or all of these:

 

Prevent Gum Disease

Bleeding gums are a big deal so if you notice your gums bleeding while brushing, flossing, or eating certain foods, please schedule a visit with our team.

Remember, periodontal disease is highly preventable. And it’s as simple as doing your part at home and seeing us at the recommended time for your preventative visit with our hygienist.

As you can see, the affects of periodontal disease are incredibly harmful to your smile and your health. We know that advanced dental treatments can be a bit of an investment, but we’re confident you’re the sort of person who doesn’t compromise on good health. So even if you’re out of insurance benefits, or you’re a cash patient, it’s imperative to be seen regularly. And we have great payment options to help you do just that.

Even if you’re at a later stage of gum disease take action now. You can manage the disease and prevent further damage from happening.

We care about you, and we’re here for you. If you have any questions or concerns about your gums or your oral health or have missing teeth because of gum disease, Dr. Powell can help you restore your smile! Please give us a call today or simply schedule a visit online.